知名男歌手臺上高歌致腦出血不幸離世!這類人唱歌千萬要小心
此前,媒體報道日本知名老牌視覺系樂隊BUCK-TICK的主唱歌手櫻井敦司,在演唱會上唱到一段高音時突感身體不適,緊急送往醫院搶救后宣告死亡。櫻井所屬經紀公司后續發出聲明,證實其因腦干出血去世,年僅57歲。
唱歌會導致腦出血嗎?根據報道,類似的情況已經多次出現。
為什么唱歌會腦出血?
唱歌是一種很有益于身心健康的休閑活動。事實證明,唱歌不僅可以鍛煉大腦,還可以鍛煉身體,對于改善呼吸、姿勢和緩解肌肉張力都很有裨益。聆聽和參與音樂被證明可以有效緩解疼痛,并通過增強免疫系統來維持健康。
但是,如果在用力唱高音的過程中情緒特別激動,呼吸方式不對,全身肌肉收縮,產生一過性的血壓升高,容易對本就很薄弱的動脈瘤血管壁產生過大的壓力,從而使得已經存在的動脈瘤破裂。
2020年6月,遼寧大連的張女士在家庭聚會時,飆《青藏高原》高音,突然頭疼劇烈、惡心嘔吐,家人緊急將其送醫就診。在全腦血管造影后,發現是動脈瘤破裂,通過2小時介入手術,破裂的動脈瘤被妥善處置。
腦動脈瘤是什么?
為了及時地把養分輸送到大腦的每一個角落,我們大腦中的血管又細又密,像蜘蛛網一樣分布在全腦。
正常情況下,腦血管中的血流隨著心臟跳動而暢通無阻。但是隨著年紀的增長,不規律的生活方式,譬如抽煙、喝酒、肥胖等等,血管里有些容易受到血流沖擊的區域,譬如轉彎、夾角處的血管壁逐漸變薄,在壓力下出現了異常的擴大或膨起,突出在血管外,就叫腦動脈瘤,或顱內動脈瘤。
瘤狀突起的就是腦動脈瘤 圖源:Columbia University
腦動脈瘤到底有多普遍呢?世界范圍中的總體發生率為3.2%,也就是每100個人中有3個人伴有腦動脈瘤,而中國35歲以上的人群中每100人就有7位具有動脈瘤。
血管薄弱、受損,長期高血壓影響血管壁,以及壓力大、生活作息不規律的人都容易引起動脈瘤。這其中,大部分患者沒有任何癥狀,常常需要一些特殊檢查才能發現。
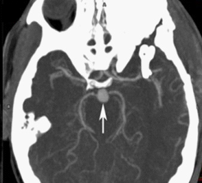
我們使用CT或MRI造影,都能發現動脈瘤的存在。下圖這個箭頭指的圓圓的、和周圍血管不一樣的地方就是動脈瘤。

CTA提示基底動脈尖動脈瘤 圖源:WestJEM
大部分的動脈瘤并不會破裂,它會老老實實地與我們共存。在具有動脈瘤的人群中,年破裂率為1.2%,破裂以后就是蛛網膜下腔出血,所以我們常常說的腦出血大部分時候是動脈瘤破裂引起的。
而除了飆高音以外,用力排便或者情緒特別激動的時候也易引發動脈瘤破裂。
腦動脈瘤破裂怎么辦?
腦動脈瘤一旦破裂,動脈內的血液馬上就進入了蛛網膜下腔,這些血液會刺激腦組織和血管神經,出現明顯的癥狀。
患者往往會發作爆炸樣的劇烈頭痛,并伴有頭暈、惡心,還可能伴有一側手腳偏癱,無法抬起等,甚至昏迷、生命垂危。此時須牢記,一定要及時送醫,不要耽誤病情。
破裂的腦動脈瘤外科和介入都能治療。外科治療是在微小創口下,伸進去一個小小的鉗夾工具(如下圖左),通過把動脈瘤整個夾閉,來阻止繼續出血,所以效果立竿見影。
血管內介入治療是醫生通過血管輸送進去一根長長的微導管,直接到達破裂動脈瘤的部位。然后通過這根中空的微導管,不斷輸送進去柔軟、并能根據動脈瘤形狀改變走向的彈簧圈。當輸送到一定密度后,這些密集地堆積在一起的彈簧圈能夠阻斷血流,達到阻止出血、治療動脈瘤的目的(如下圖右)。

腦動脈破裂治療方法 圖源:ICD10monitor
外科治療及時、夾閉完全的患者,手術后復發的可能性小于1%,后期可根據情況選擇是否進行藥物治療。但是需要定期隨訪,同時注意生活、飲食規律,定期鍛煉,以改變內環境,防止其他部位的動脈瘤再出現。
腦動脈瘤就是大腦血管給我們的一個SOS信號,及時處理后仍然能獲得良好的生活質量,而忽視這個身體信號的話,則會給我們帶來不能承擔的后果。
健康小貼士
唱歌是好事,高音需謹慎;
發現異常不要慌,及時救治保平安。

本站所有文章、數據、圖片均來自互聯網,一切版權均歸源網站或源作者所有。
如果侵犯了你的權益請來信告知我們刪除。郵箱:business@qudong.com



